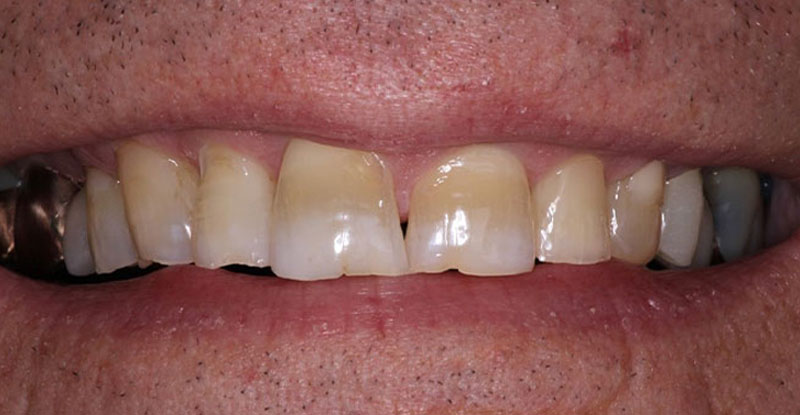
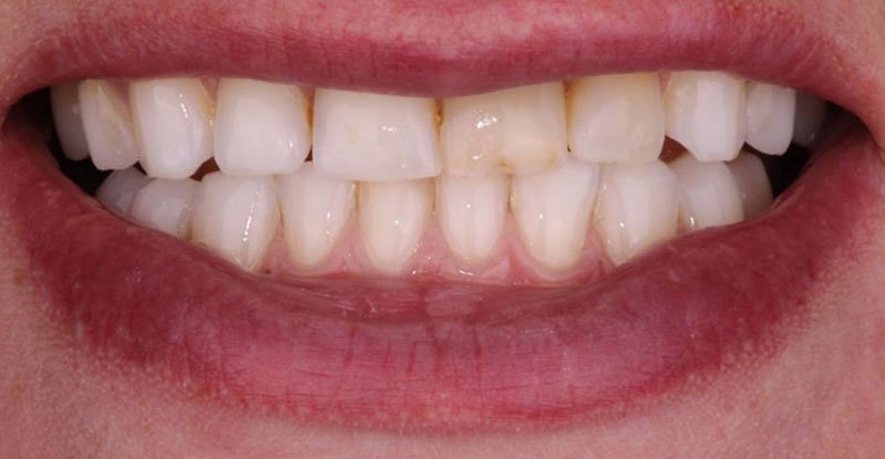
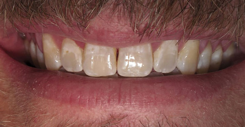
Composite bonding is a quick, effective treatment used to repair chipped, discolored, or uneven teeth with a tooth-colored resin. At Advanced Family Dental, we sculpt and polish each bonded area with precision to blend seamlessly with your natural smile. This minimally invasive procedure requires little to no enamel removal, making it a conservative option for enhancing your teeth’s shape, size, or color. It’s a simple way to achieve a more balanced, confident smile—often in just one visit.
